Rehabilitació integral d’un somriure amb tincions
Motiu de la consulta
Un pacient de 65 anys acudeix a la clínica amb el desig de millorar l’estètica del seu somriure.
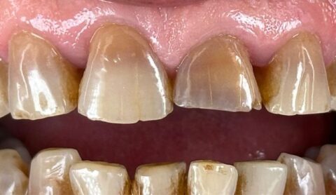
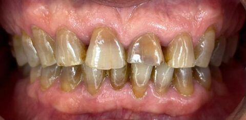
Presenta, des de la infància, discromies severes causades per l’administració de tetraciclines durant la formació dental, cosa que ha provocat una tinció fosca i profunda.
El pacient mostra una alta exigència estètica, però també vol recuperar la funcionalitat perduda, especialment en el sector posterior.
Antecedents rellevants
- Tinció per tetraciclines: Administració durant la fase de formació dental, provocant una coloració intrínseca profunda i fosca.
- Traumatismes previs als incisius superiors (11 i 21) per l’impacte d’una pilota d’hoquei.
- Pèrdua del molar 36, amb afectació funcional.
Exploració clínica
- Presència d’aigües i tonalitats gris-marronoses típiques de les discromies severes per tetraciclines.
- Asimetria gingival, especialment al 21.
- Alta exigència estètica i necessitat de millora funcional oclusal.
Pla de tractament
Vam dissenyar un pla personalitzat per abordar tant l’estètica com la funcionalitat de manera integral.
Fase provisional i correcció gingival
- Es van dissenyar provisionals diagnòstics per definir la forma i les proporcions dentals.
- Es va realitzar una gingivectomia al 21 per igualar els marges gingivals dels incisius.
- El pacient va portar els provisionals durant 15 dies per avaluar-ne tant la funció com l’estètica.
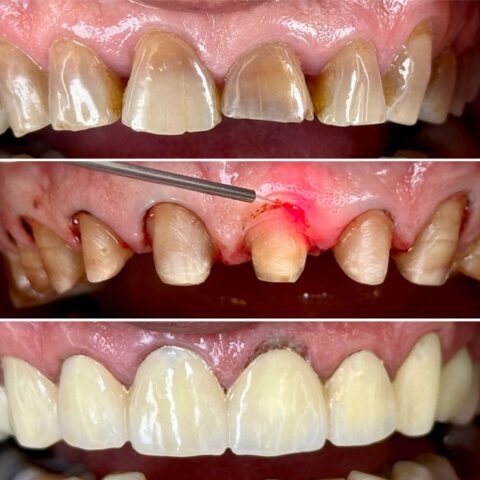
Tractament del 11 per dolor
Durant aquesta fase, el pacient va referir dolor al 11, probablement associat a un compromís previ per traumatismes i pel tallat dental.
Es va realitzar una endodòncia del 11, que va resoldre completament la simptomatologia.
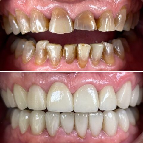
Rehabilitació definitiva estètica i funcional
- Sector anterior: Corones de zirconi amb ceràmica estratificada, imitant la translucidesa i les textures naturals d’una dent sana, especialment a la zona incisal.
- Sector posterior: Corones de zirconi monolític per garantir la màxima resistència davant les càrregues masticatòries.
- Peça 36: Col·locació d’un implant dental per recuperar la funció masticatòria i l’estabilitat oclusal.
Per què no es van posar carilles?
En casos de discromies severes per tetraciclines, el color intern és tan fosc i profund que les carilles no ofereixen el gruix necessari per camuflar-lo de manera eficaç.
Una carilla fina deixaria traslluir un to grisós, cosa que va en contra dels objectius del tractament.
Per aquest motiu, es van escollir corones completes, que permeten més gruix de ceràmica i una opacitat controlada per neutralitzar la tinció interna sense comprometre l’estètica.
Conclusió
Les discromies per tetraciclines representen un dels reptes estètics més complexos en odontologia. En els casos lleus, el blanquejament pot aportar certa lluminositat, però no elimina les irregularitats cromàtiques internes.
En situacions severes com la d’aquest pacient, l’única solució eficaç i duradora és una rehabilitació completa amb corones ceràmiques, que aconsegueix un equilibri ideal entre estètica, funcionalitat i resistència.
Cas realitza per: Dra. Mariona Gamell

